Vấn đề răng miệng ở người lớn tuổi và cách chăm sóc hiệu quả
Khi tuổi tác tăng cao, sức khỏe răng miệng của người lớn tuổi thường gặp nhiều vấn đề như mòn men, sâu răng và các bệnh liên quan đến nướu. Những tình trạng này ảnh hưởng rất nhiều đến sức khỏe, đặc biệt là lúc cơ thể người cao tuổi không còn nhiều đề kháng để tự phục hồi. Trong bài viết dưới đây, Nha Khoa Hoa Hồng Phương Đông sẽ chia sẻ những vấn đề răng miệng phổ biến ở người cao tuổi và hướng dẫn chăm sóc hiệu quả.

Vì sao người lớn tuổi thường gặp vấn đề về răng miệng hơn?
Răng của con người thực sự vô cùng chắc chắn, có thể chịu được áp lực lên đến 200 pound. Tuy nhiên, dù men răng cứng cáp đến đâu cũng có thể bị mài mòn theo thời gian, do việc nhai thức ăn và tiếp xúc với thực phẩm có tính axit như nước ngọt và trái cây họ cam quýt. Điều này làm giảm khả năng bảo vệ của men răng và khiến răng dễ bị tổn thương.
Khi lớp men bị suy yếu, các vấn đề như nứt hoặc vỡ răng dễ xảy ra, dẫn đến tình trạng viêm tủy và các biến chứng nghiêm trọng. Tuổi tác cũng làm giảm độ nhạy của dây thần kinh trong răng, khiến các vấn đề răng miệng phát triển âm thầm và khó nhận biết. Vì vậy, thông thường người lớn tuổi sẽ gặp nhiều vấn đề về răng miệng hơn so với những người trẻ tuổi.
Những vấn đề răng miệng phổ biến ở người lớn tuổi

Khi bước vào tuổi già, cơ thể chúng ta trải qua nhiều thay đổi, và sức khỏe răng miệng cũng không ngoại lệ. Những thay đổi này có thể dẫn đến một loạt các vấn đề răng miệng phổ biến mà người lớn tuổi thường phải đối mặt. Dưới đây là một số vấn đề chính được Nha Khoa Hoa Hồng Phương Đông tổng hợp.
Bệnh nha chu
Bệnh nha chu là một vấn đề răng miệng phổ biến ở người cao tuổi, thường dẫn đến mất răng nếu không được điều trị. Phát sinh từ việc chăm sóc răng miệng không đúng cách, dẫn đến sự tích tụ vi khuẩn và hình thành mảng bám quanh cổ răng, gây viêm nhiễm và nặng hơn là tiêu xương ổ răng. Các triệu chứng dễ nhận thấy bao gồm nướu chảy máu khi đánh răng, sưng đỏ, cao răng gia tăng, hơi thở hôi, và răng lung lay, gây khó chịu trong cuộc sống hàng ngày.
Sâu răng và viêm tủy răng
Người lớn tuổi thường gặp vấn đề sâu răng do tuổi tác và vệ sinh răng miệng không tốt. Dấu hiệu của sâu răng bao gồm cảm giác ê buốt khi ăn thực phẩm nóng, lạnh hoặc chua, và sự xuất hiện của các lỗ sâu màu xám đen trên bề mặt răng. Nếu không được điều trị, sâu răng có thể dẫn đến viêm tủy, gây đau nhức và nhiễm trùng nghiêm trọng ở khu vực gần cuống răng. Tình trạng này có thể tiến triển thành viêm xương nếu không được chăm sóc kịp thời.
Mòn và hư hỏng răng tiết diện lớn
Mòn răng ở người lớn tuổi thường xảy ra do đánh răng quá mạnh hoặc thói quen nghiến răng khi ngủ. Ngoài ra, chế độ ăn uống không cân bằng, đặc biệt là tiêu thụ nhiều thực phẩm và đồ uống có tính axit, cũng góp phần làm mòn và hư hỏng răng. Khi lớp men răng bị mài mòn, các răng có thể trở nên yếu hơn và dễ bị tổn thương. Điều này có thể dẫn đến các vấn đề nghiêm trọng như nhạy cảm răng và hư hỏng các bề mặt răng lớn.

Rối loạn khớp vùng thái dương
Rối loạn khớp thái dương hàm ở người lớn tuổi thường gây ra đau nhức ở khu vực hàm và quanh tai, làm cho việc nhai thức ăn trở nên khó khăn và không thoải mái. Tình trạng này có thể khiến khớp hàm trở nên cứng và gây ra sự mất cân bằng khi cắn. Đau đầu có thể kèm theo và khi mở hoặc đóng miệng, có thể nghe thấy tiếng cử động của khớp. Những triệu chứng này ảnh hưởng đáng kể đến chất lượng cuộc sống và khả năng ăn uống.
Tình trạng khô miệng
Khô miệng ở người lớn tuổi thường xuất phát từ sự suy giảm chức năng trao đổi chất và hệ miễn dịch theo tuổi tác. Hơn nữa, các bệnh mãn tính và việc sử dụng thuốc lâu dài cũng là nguyên nhân phổ biến gây khô miệng. Tình trạng này không chỉ làm tăng nguy cơ sâu răng và nhiễm trùng mà còn gây khó khăn khi nhai và nuốt thức ăn, ảnh hưởng nghiêm trọng đến sức khỏe răng miệng và chất lượng cuộc sống. Việc thiếu nước bọt cũng làm tăng nguy cơ nhiễm trùng miệng và các vấn đề tiêu hóa.
Mất răng ở người lớn tuổi
Mất răng là vấn đề phổ biến ở người lớn tuổi, với gần 20% người trên 65 tuổi bị mất toàn bộ răng. Tỷ lệ này gia tăng đáng kể ở người từ 75 tuổi trở lên, đạt 26%, gấp đôi so với nhóm tuổi 65-74. Việc mất răng hoặc sử dụng răng giả có thể ảnh hưởng đến chế độ dinh dưỡng, khiến người lớn tuổi có xu hướng chọn thực phẩm mềm dễ nhai thay vì các loại thực phẩm bổ dưỡng như trái cây và rau quả tươi. Điều này có thể dẫn đến thiếu hụt dinh dưỡng và ảnh hưởng đến sức khỏe tổng thể.

Rối loạn phản xạ nhai nuốt và giảm vị giác
Khi tuổi tác tăng, người lớn tuổi thường gặp phải tình trạng suy giảm chức năng nhai nuốt và cảm giác vị giác. Điều này khiến quá trình ăn uống trở nên khó khăn và không còn hấp dẫn, dẫn đến cảm giác không thèm ăn và chế độ dinh dưỡng không đầy đủ. Kết quả là cơ thể dễ bị thiếu hụt chất dinh dưỡng và thường xuyên cảm thấy mệt mỏi.
Ung thư miệng
Ung thư miệng là một vấn đề sức khỏe nghiêm trọng ở người lớn tuổi, thường phát sinh từ các tổn thương hoặc vết loét không lành. Các yếu tố dẫn đến vấn đề này bao gồm việc sử dụng thuốc lá, uống rượu, và sự suy giảm miễn dịch, bệnh lý cơ thể như tiểu đường, bệnh tim mạch theo tuổi tác.
Triệu chứng của ung thư miệng có thể bao gồm vết loét kéo dài, đau miệng, khó nuốt, và thay đổi màu sắc hoặc hình dạng của các mô trong miệng. Nếu không được phát hiện và điều trị sớm, ung thư miệng có thể tiến triển nhanh và di căn đến những khu vực khác trong cơ thể.
Xem thêm: Nguyên nhân rụng răng sớm và những hệ luỵ đáng báo động
Cách chăm sóc và bảo vệ răng miệng hiệu quả

Chăm sóc răng miệng đúng cách là rất quan trọng để duy trì sức khỏe răng miệng ở người lớn tuổi. Do sự thay đổi về chức năng và tình trạng sức khỏe theo thời gian, việc áp dụng các biện pháp chăm sóc phù hợp sẽ giúp ngăn ngừa nhiều vấn đề răng miệng phổ biến. Dưới đây là một số cách chăm sóc và bảo vệ răng miệng hiệu quả cho người lớn tuổi từ Nha Khoa Hoa Hồng Phương Đông:
- Chải răng đúng cách: Đánh răng ít nhất hai lần mỗi ngày bằng bàn chải mềm và kem đánh răng chứa fluoride. Đảm bảo chải cả mặt trước, mặt sau và các kẽ răng trong ít nhất hai phút mỗi lần.
- Dùng chỉ nha khoa và nước súc miệng: Sử dụng chỉ nha khoa hàng ngày để làm sạch các kẽ răng và vùng dưới nướu. Kết hợp với nước súc miệng chứa fluoride để kiểm soát vi khuẩn và giảm hôi miệng.
- Khám răng định kỳ: Thăm bác sĩ nha khoa đều đặn mỗi sáu tháng để kiểm tra và điều trị các vấn đề sớm. Điều này giúp ngăn ngừa các bệnh lý nghiêm trọng và giữ cho răng miệng luôn khỏe mạnh.
- Tránh thực phẩm có hại: Hạn chế tiêu thụ thực phẩm chứa nhiều đường và axit. Những thực phẩm này có thể làm hỏng men răng và gia tăng nguy cơ sâu răng.
- Duy trì độ ẩm miệng: Uống đủ nước để giữ cho miệng không bị khô, điều này giúp tránh tình trạng khó nuốt và giảm nguy cơ mắc các vấn đề răng miệng.
- Điều trị bệnh lý răng miệng ngay khi thấy dấu hiệu không ổn: Khi phát hiện các triệu chứng bất thường như đau răng, chảy máu nướu hoặc hơi thở có mùi hôi, cần điều trị kịp thời để ngăn ngừa các vấn đề nghiêm trọng hơn như sâu răng, bệnh nha chu. Đặc biệt là trường hợp mất răng cần điều trị cấy ghép implant để hạn chế tiêu xương và những bệnh lý liên quan khác.
Tham khảo thêm: 10 thói quen chăm sóc răng miệng cho hàm răng khỏe mạnh
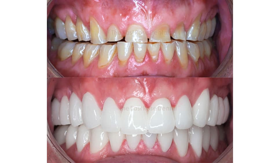
Video kết quả điều trị răng toàn sứ phục hồi thẩm mỹ và chức năng ăn nhai cho khách hàng lớn tuổi tại Nha Khoa Hoa Hồng Phương Đông:
Qua bài viết trên, chắc chắn bạn đã hiểu được tầm quan trọng của vấn đề răng miệng ở người lớn tuổi ảnh hưởng rất nhiều đến sức khoẻ tổng thể và chất lượng cuộc sống. Vì vậy, Nha Khoa Hoa Hồng Phương Đông hy vọng bạn sẽ chủ động thăm khám định kỳ và thực hiện điều trị kịp thời những vấn đề đang gặp phải để cải thiện nụ cười và đặc biệt là bảo vệ sức khỏe lâu dài.
Thời gian làm việc
- Thứ 2 - thứ 6: 08:00 - 19:00
- Thứ 7: 08:00 - 18:00
- Chủ nhật nghỉ
Hỗ trợ khách hàng
- Hotline 1: 1900 585 874
- Hotline 2: (+84)838 258 778
- Mobile: (+84)908 321 455
- Phone: (+84)2 838 258 778
- info@dentalrose.net
- rosedentalclinicvn@gmail.com
Tiếng Việt
English

